Việc răng bị mẻ là điều mà không ai mong muốn, nhưng do nhiều yếu tố mà việc đó xảy ra. Một chấn thương, nghiến răng khi ngủ, cắn quá mạnh hay răng thiếu canxi,… luôn là yếu tố dẫn đến việc răng bị mẻ. Vậy răng bị mẻ phải làm sao?
Trước hết nếu như nguyên nhân dẫn đến bị mẻ răng từ bên trong, ví dụ như răng thiếu canxi, thì bạn cần lưu ý chế độ dinh dưỡng, bổ sung canxi từ các loại thức phẩm giúp răng chắc khỏe hơn. Chỉ cần thực hiện điều độ, việc răng bạn bị mẻ sẽ không còn nữa, cũng như hàm răng sẽ chắc khỏe hơn.
Xem thêm
Xem thêm
►http://caygheprangimplant.weebly.com/dich-vu-nha-khoa/manh-khoe-sao-viet-che-mat-lech-khong-can-doi
►http://caygheprangimplant.weebly.com/dich-vu-nha-khoa/guong-mat-xuong-cap-cua-sao-viet-phau-thuat-tham-my
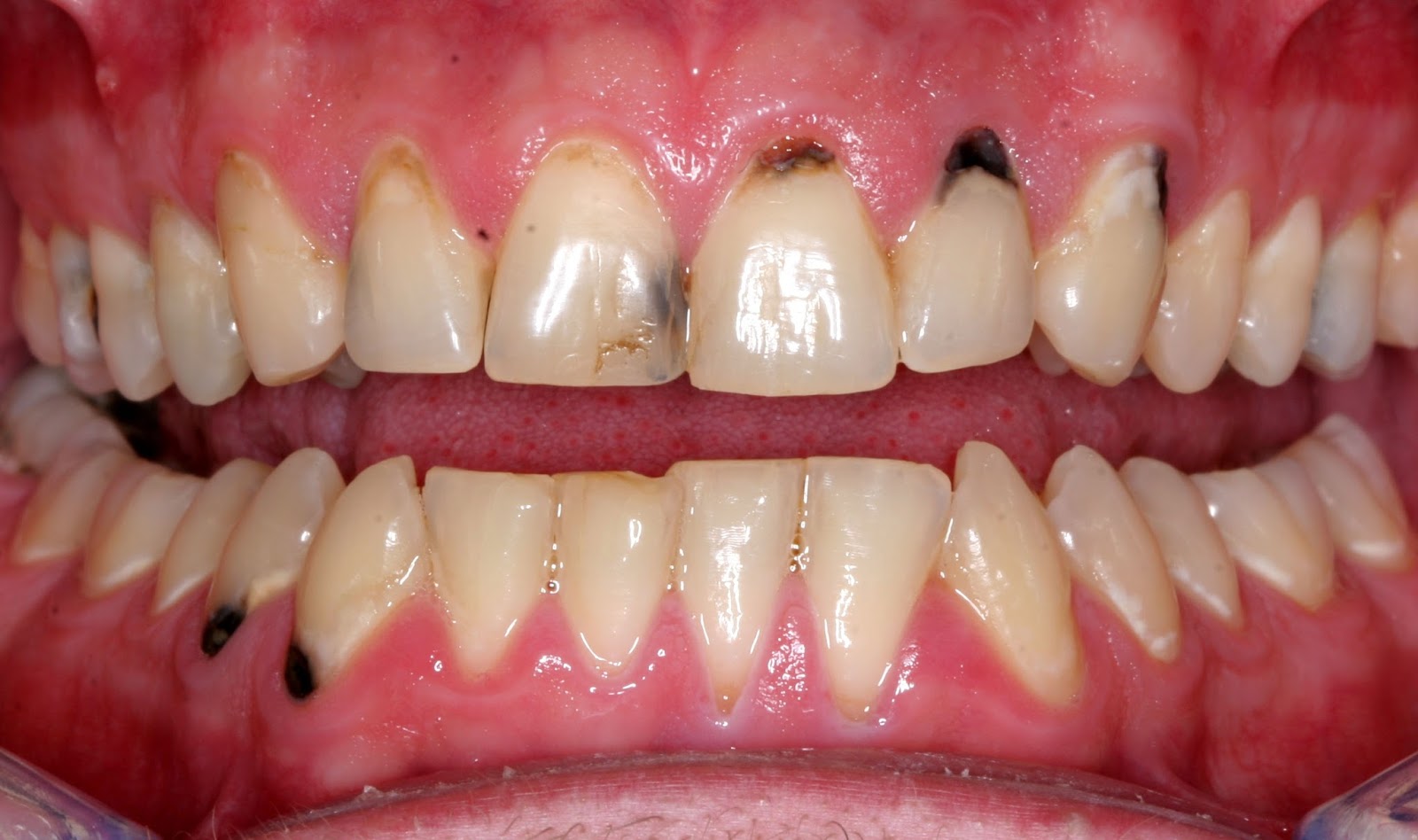
Còn nếu nguyên nhân bị mẻ là từ bên ngoài thì thường những nguyên nhân này sẽ làm răng bị mẻ lớn, khó hoặc không thể phục hồi được. Bạn nên đến các trung tâm nha khoa để các bác sĩ tiến hành chữa trị bằng các phương pháp như hàn trám răng, chụp răng sứ,… Nhưng đôi khi việc mẻ răng cũng gây ra bởi tác động của vi khuẩn, đặc biệt là đối với những răng có nhiều cao răng, mảng bám không được loại bỏ.
Còn nếu nguyên nhân bị mẻ là từ bên ngoài thì thường những nguyên nhân này sẽ làm răng bị mẻ lớn, khó hoặc không thể phục hồi được. Bạn nên đến các trung tâm nha khoa để các bác sĩ tiến hành chữa trị bằng các phương pháp như hàn trám răng, chụp răng sứ,… Nhưng đôi khi việc mẻ răng cũng gây ra bởi tác động của vi khuẩn, đặc biệt là đối với những răng có nhiều cao răng, mảng bám không được loại bỏ.
Lúc này, acid trong thực phẩm sẽ tấn công, làm bào mòn men răng rất nhanh, nên nếu nền răng của bạn không khỏe sẽ khiến mô răng bên ngoài bị mòn và mẻ dần. Thì lúc này, bạn nên vệ sinh răng miệng thương xuyên, cần lưu ý chăm sóc răng bằng cách chải răng hàng ngày sau mỗi bữa ăn, đồng thời kết hợp dùng chỉ nha khoa và súc miệng để loại bỏ mảng bám trên răng, hạn chế môi trường cho vi khuẩn.
Chỉ cần chú ý những điều trên thì bạn sẽ không còn phải lo lắng về việc “răng bị mẻ phải làm sao?” nữa. Nhưng việc phục hồi đối với những răng đã bị mẻ quá nhiều như thế nào?
Phục hồi răng bị mẻ
Trong trường hợp răng bị mẻ do áp lức ăn nhai cắn xé khiển răng có nhũng vết mẻ nhỏ, vừa thì bạn có thể phục hồi răng bị mẻ được bằng cách đến các trung tâm nha khoa uy tín. Tại đây, các sĩ sẽ tiến hành hàn trám những răng bị mẻ bằng chất liệu composite hoặc amalgan. Tuy nhiên, chất liệu composite có thể dễ bị bong vỡ hơn so với răng thật, do đó, nên bạn cần tránh những thức ăn có độ cứng hay cắn xé vật cứng để bảo vệ răng sau khi được phục hồi. Còn amalgam đặc tính là có độ chịu lực cao, độ bền lâu dài hơn composite nhưng lại có màu bạc khác hoàn toàn với màu sắc của răng nên thường dùng trám răng hàm.
Với những trường hợp răng bị mẻ quá lớn và không thể phục hồi được với biện pháp trám răng thẩm mỹ thông thường thì việc chụp, bọc răng sứ là một giải pháp. Đây là cách mài bớt phần răng bị mẻ sau đó chụp mão sứ lên trên.
Chỉ cần chú ý những điều trên thì bạn sẽ không còn phải lo lắng về việc “răng bị mẻ phải làm sao?” nữa. Nhưng việc phục hồi đối với những răng đã bị mẻ quá nhiều như thế nào?
Phục hồi răng bị mẻ
Trong trường hợp răng bị mẻ do áp lức ăn nhai cắn xé khiển răng có nhũng vết mẻ nhỏ, vừa thì bạn có thể phục hồi răng bị mẻ được bằng cách đến các trung tâm nha khoa uy tín. Tại đây, các sĩ sẽ tiến hành hàn trám những răng bị mẻ bằng chất liệu composite hoặc amalgan. Tuy nhiên, chất liệu composite có thể dễ bị bong vỡ hơn so với răng thật, do đó, nên bạn cần tránh những thức ăn có độ cứng hay cắn xé vật cứng để bảo vệ răng sau khi được phục hồi. Còn amalgam đặc tính là có độ chịu lực cao, độ bền lâu dài hơn composite nhưng lại có màu bạc khác hoàn toàn với màu sắc của răng nên thường dùng trám răng hàm.
Với những trường hợp răng bị mẻ quá lớn và không thể phục hồi được với biện pháp trám răng thẩm mỹ thông thường thì việc chụp, bọc răng sứ là một giải pháp. Đây là cách mài bớt phần răng bị mẻ sau đó chụp mão sứ lên trên.















